
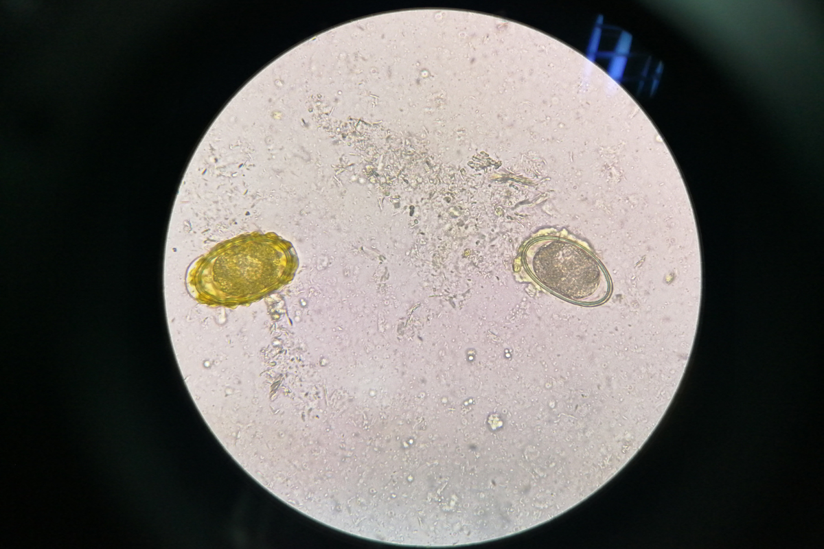
Have You Considered Parasites?
If you’re dealing with fatigue, brain fog, depression, anxiety, pain, gut issues, allergies, long COVID or auto immune disease, have you considered that parasites might be the cause of your health issues? Could parasites be the reason why no matter how healthy you eat, how active you are or how many supplements you take, you
