
New MS Biomarker: More Proof MS Is Parasitic
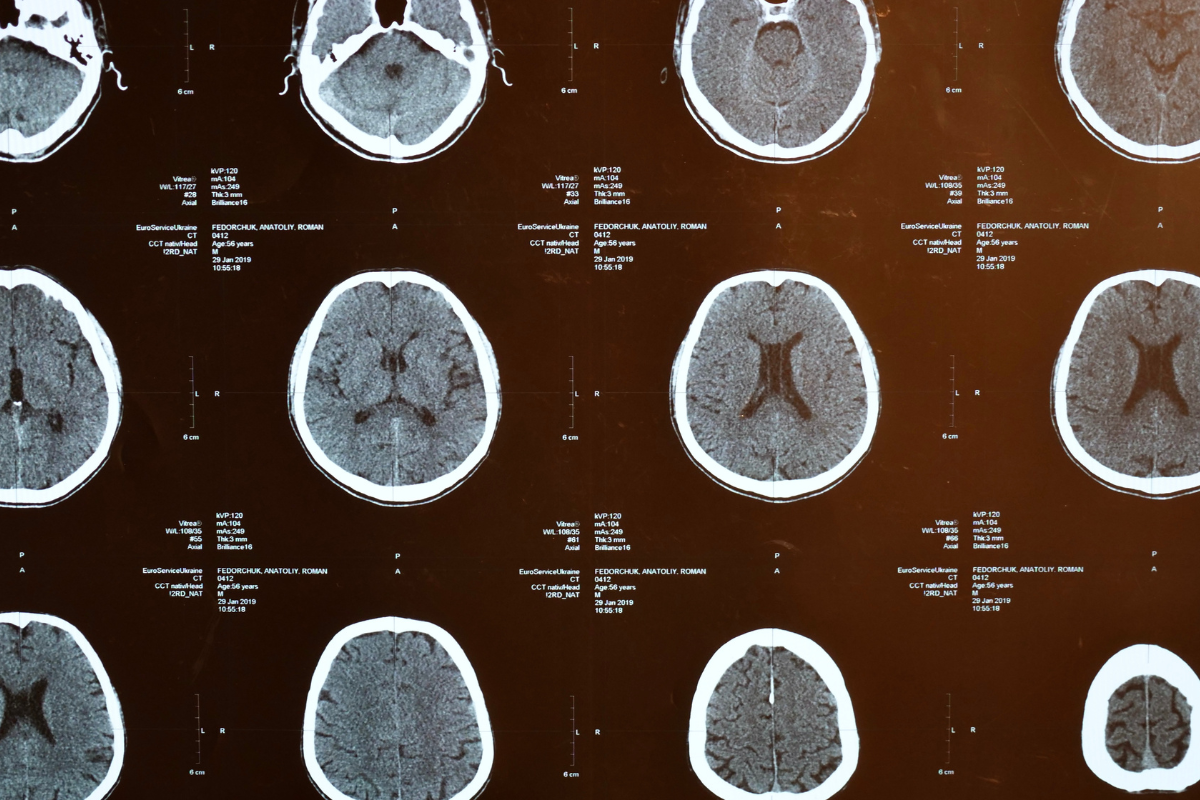
A groundbreaking study published in Nature Medicine in April 2025 has identified a new type of brain lesion—the broad rim lesion (BRL)—which may predict rapid disease progression in multiple sclerosis (MS). While researchers suggest BRLs could serve as biomarkers for aggressive MS, the findings inadvertently support a perspective that we have long advocated: MS is
















